Vi bào tử trùng EHP: Giải pháp phòng và điều trị bệnh
Giải pháp phòng bệnh do vi bào tử trùng EHP gây ra trên tôm nước lợ
Theo Tổng cục Thủy sản, tình hình nhiễm bệnh vi bào tử trùng EHP trên tôm nước lợ đang có chiều hướng gia tăng. Đây là một loại bệnh không gây chết hàng loạt nhưng có ảnh hưởng rất lớn về kinh tế đối với nghề nuôi tôm do khi tôm bị bệnh này sẽ khiến tôm chậm lớn, thậm chí không lớn mặc dù vẫn tiêu tốn rất nhiều thức ăn (tôm nuôi 90-100 ngày tuổi vẫn có thể chỉ đạt kích cỡ 4-5 gram/con (200-250 con/kg). Cùng Sitto Việt Nam tìm hiểu về bệnh do vi bào tử trung EHP gây ra trên tôm nhé!
Xem thêm: Nâng cao hiệu quả sử dụng thức ăn cho tôm
Triệu chứng lâm sàng
Bệnh EHP có những triệu chứng lâm sàng chủ yếu là sự chậm phát triển và sự biến dạng kích thước của tôm.
- Ở giai đoạn nặng, tôm bị EHP xâm nhiễm thường có vỏ mềm, bơi yếu, ruột không có thức ăn, cơ đục và chết từ từ.
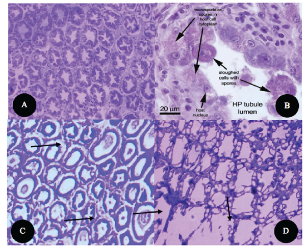
- EHP gây tổn thương cho các tế bào biểu mô ống gan tụy (HP).
- Thường có liên quan đến Hội chứng Phân trắng (WFS). Tỷ lệ nhiễm EHP 100% đã được ghi nhận ở các trang trại nuôi tôm bị WFS ảnh hưởng ở các bang Tamil Nadu và Andhra Pradesh của Ấn Độ. Các sợi phân trắng nổi trên mặt nước của ao bị EHP xâm nhiễm là một trong những triệu chứng lâm sàng của bệnh.
Tuy nhiên, hội chứng phân trắng không phải là một đặc trưng nhất quán so với tốc độ tăng trưởng chậm, sự biến dạng kích thước và cả hai tình trạng này không phải lúc nào cũng xảy ra cùng lúc.

Những triệu chứng lâm sàng của EHP là sự chậm phát triển và sự biến dạng kích thước của tôm
Nguyên nhân gây bệnh
Vì EHP là một loại ký sinh trùng sống trong tế bào, nó nhân bản trong khu vực tế bào chất của các tế bào biểu mô ống gan tụy. Khi EHP xâm nhập vào ao nuôi, rất khó diệt được. Các bào tử của EHP có dạng viên hoặc xác chết khô có thể sống sót đến sáu tháng và duy trì khả năng lây nhiễm hơn một năm trong điều kiện có nước. Các bào tử được giải phóng trong môi trường được kích hoạt khi các yếu tố bên ngoài thích hợp và xâm nhiễm vào tế bào vật chủ.
Khi các bào tử xâm nhập vào ruột tôm, chúng bắt đầu lây nhiễm vào các tế bào gan thông qua việc mở rộng một ống phân cực chuyên biệt cao. Khi quá trình lây nhiễm tiến triển, số lượng bào tử tăng lên vì chúng nhân lên trong tế bào vật chủ. Do đó, các bào tử mới được hình thành sau đó lây nhiễm sang các tế bào khỏe mạnh khác. Nhiễm EHP trong điều kiện ao nuôi có thể xảy ra liên tục, dẫn đến gan tụy bị tổn thương nặng dần với các mức độ nhiễm bệnh khác nhau. Sự lây nhiễm với số lượng lớn, sản xuất và giải phóng bào tử bằng cách ly giải tế bào, cùng với sự bong tróc của toàn bộ tế bào chứa bào tử dẫn đến mất tính toàn vẹn của biểu mô ống HP và có thể kèm theo một số tôm chết. Các bào tử, tế bào bong tróc và mảnh vụn từ các tế bào bị ly giải tích tụ trong ruột giữa làm cho nó trở thành các chuỗi phân màu trắng.
Ngoài ra, các tế bào làm dung dịch giải phóng các bào tử bình thường theo cách phân tán theo thời gian cho phép đổi mới tế bào và giữ nguyên cấu trúc HP ít nhiều. Điều này cho phép nhiễm trùng lâu dài mà không có triệu chứng bên ngoài của bệnh nhưng có thể gây chậm phát triển.
Xem thêm: Kinh nghiệm điều trị bệnh phân trắng

EHP là một loại ký sinh trùng sống trong tế bào
Giải pháp phòng bệnh do bào tử trùng EHP
Tôm bị nhiễm EHP không có dấu hiệu điển hình như bệnh đốm trắng hay hoại tử gan tụy cấp mà chủ yếu là chậm lớn, mềm vỏ và màu sắc gan tụy nhợt nhạt. Hiện tại vẫn chưa có giải pháp cụ thể cho bệnh này. Vì vậy, để ngăn sự lây lan của bệnh do EHP, người nuôi tôm được khuyến cáo áp dụng một số biện pháp phòng bệnh tổng hợp như sau:
Con giống
Cần chọn lựa con giống tốt đã được xét nghiệm không mang các mầm bệnh thông thường trên tôm. Chọn tôm giống từ những công ty hoặc các trại sản xuất có uy tín và chất lượng tốt.
Mật độ thả vừa phải
Đối với tôm sú 15-25 con/m2, đối với tôm thẻ chân trắng 60-70 con/m2.
Ao lắng
Trong nuôi thâm canh và bán thâm canh bắt buộc phải có ao lắng với diện tích bằng ít nhất 30% diện tích ao nuôi để có thể chủ động nguồn nước sạch cấp vào ao nuôi vào bất cứ lúc nào. Đối với ao lắng cũng cần được cải tạo và phải được diệt khuẩn nước kỹ trước khi cấp vào ao nuôi.
Cải tạo ao
Cần tuân thủ đúng quy trình cải tạo ao để loại bỏ được mầm bệnh tồn tại từ vụ nuôi trước. Đối với ao lót bạt cần được chà sạch, phơi nắng, xử lý bằng vôi để loại bỏ vi bào tử trùng, rửa, xử lý bằng chlorine ít nhất 30 ppm, diệt khuẩn nước kỹ trước khi gây màu.
Đối với ao đất cần cày và phơi khô đáy ao ít nhất 2-3 tuần. Xử lý bằng vôi, sau đó rửa ao, xử lý bằng chlorine ít nhất 30 ppm, diệt khuẩn kỹ trước khi cấp nước và gây màu. Cần xử lý ao và kiểm tra mật độ vibrio trong nước và trong đất kỹ trước khi gây màu.
An toàn sinh học
Tuân thủ tuyệt đối an toàn sinh học trong ao nuôi để tránh tình trạng lây lan mầm bệnh giữa các ao trong cùng trang trại. Các vật dụng dùng để chăm sóc hoặc kiểm tra tôm cần được bố trí riêng biệt giúp tránh lây giữa ao này và ao khác. Đối với trang trại có ao nhiễm EHP cần đặc biệt quan tâm đến lây lan qua nguồn nước hay do người chăm sóc.
Quản lý sức khỏe
Thường xuyên kiểm tra sàng ăn để tránh trường hợp cho ăn dư làm ảnh hưởng đến chất lượng nước và tạo điều kiện cung cấp nguồn dinh dưỡng cho các nhóm tác nhân gây bệnh phát triển. Kiểm tra thường xuyên màu sắc gan tụy, biểu hiện bên ngoài (màu sắc, tình trạng cứng của vỏ tôm), phân đều về kích cỡ,…
Quản lý chất lượng nước
Thường xuyên theo dõi các yếu tố cơ bản trong ao nuôi như pH, nhiệt độ, độ kiềm, oxy hòa tan để kịp thời điều chỉnh, tránh hiện tượng tôm bị sốc do môi trường sẽ tạo điều kiện cho mầm bệnh phát huy tác dụng và gây bùng phát dịch bệnh.

Giải pháp phòng bệnh do bào tử trùng EHP
PHÒNG KỸ THUẬT - CÔNG TY TNHH SITTO VIỆT NAM
Xem thêm: